
Die Haut ist trocken, schuppig, gerötet und sie juckt: Moderne Therapien helfen Kindern wie Erwachsenen, mit der Krankheit zurechtzukommen.

Die Haut ist trocken, schuppig, gerötet und sie juckt: Moderne Therapien helfen Kindern wie Erwachsenen, mit der Krankheit zurechtzukommen.

Der Blick ins Erbgut ermöglicht bessere Therapien – wenn die Qualität der Tests gut ist. Sagt Mark Capone, Chef der Test-Firma Myriad, im Interview

Das Gedächtnis ist keine Festplatte, sondern höchst wandelbar. Andere beeinflussen, wie wir uns erinnern.

Ist es gut fürs Herz, wenn man auf Gluten verzichtet? Studien zeigen nun, dass eher das Gegenteil der Fall ist. Außer, man leidet an Zöliakie.

Der Cannabis-Wirkstoff THC verbessert die Gedächtnisleistung alternder Mäuse, berichten Bonner Forscher.

Hölderlin war nicht psychisch krank. Verrückt war nur seine Behandlung, sagt ein Arzneimittelexperte.

Beim Nachwuchs wird oft zu schnell zu dem "Notfallmedikament" gegriffen. Dabei geht es bei den meisten Erkrankungen ohne.

Die einen mögen’s salzig, die anderen mit extra viel Zucker. Ein Hormon der Leber ist offenbar verantwortlich für die Regulation des Naschdrangs.

Ein deutsch-israelisches Institut erforscht neue Wege der Tumortherapie: Ionen oder Elektronen sollen mit Licht so stark beschleunigt werden, dass sie Krebszellen zerstören.

Rheuma trifft neben Gelenken auch Gefäße, Kranke können ein höheres Risiko für Herzleiden tragen. Doch inzwischen gibt es Therapien, die lebensverlängernd wirken.

Depersonalisation – Menschen mit dieser Störung empfinden ihren Körper als fremd und die Welt als unwirklich.

Jeder sechster leidet unter einer vernachlässigten Tropenkrankheit. Die Programme der Londoner Erklärung, in der sich Pharmaunternehmen und Regierungen verpflichten, diese Krankheiten zu bekämpfen, zeigt erste Erfolge.

Teilen sich Bindegewebszellen unkontrolliert, entstehen Fibrosen. Jetzt haben Forscher die Ursache entdeckt - und eine Therapiemöglichkeit.

Ein Indiz für den Zusammenhang von Outdoor-Aktivitäten und steigenden Borreliose-Infektionen: Forscher finden bei Marathon-Läufern sehr viele Zecken.

Mittels leichter elektrischer Impulse durch die Schädeldecke lässt sich das Gehirn so manipulieren, dass Menschen ehrlicher agieren. Zu diesem Ergebnis kommen Experimente eines Zürcher Forschers.

Manches geht schief in unserem Leben. Trotzdem sind die meisten Menschen Optimisten - aus gutem Grund.

Der Countdown für die Vergabe der Anbaulizenzen für Cannabis läuft. Produzenten können ihre Bewerbung bis Anfang Juni einreichen.

Vor 200 Jahren wurde die Schüttellähmung erstmals beschrieben, die Ursache ist erkannt, aber eine Heilung steht aus.

Bayerische Behörde warnt vor Krankheitserregern in Experimentierkästen für Biohacker.

In Reiswaffeln und Babyreis steckt zu viel Arsen. Das Berliner Bundesinstitut für Risikobewertung warnt davor, Säuglingen und Kleinkindern jeden Tag Reishaltiges zu geben.

Berlins Wissenschaft ist spitze, doch die Umsetzung der Forscherideen stockt. Erwin Böttinger will das mit dem Berlin Institute of Health ändern.

In den USA wurde zeitweise Kernenergie durch Strom aus Kohle ersetzt. Das Ergebnis war schmutzigere Luft und ein geringeres Geburtsgewicht.

Pollenprognosen sollen Heuschnupfen-Betroffenen helfen, Symptome in den Griff zu bekommen. Doch es gibt kaum genug Messstationen in Deutschland. Wie gut sind also die Vorhersagen?

Angeblich sind deutsche Krankenhäusern lebensgefährlich, weil Ärzte und Pflegekräfte aus Überlastung töten. Den Beweis bleiben die Autoren schuldig.

Computerspiele und exzessives Chatten können für Jugendliche zur Gefahr werden, warnen Psychiater.

Die Infektionszahlen der oftmals tödlichen Krankheit Tuberkulose steigen trotz Therapiemöglichkeiten weiter an - auch in Deutschland. Nur ein Impfstoff kann die Ausbreitung endlich stoppen. Ein Gastbeitrag.

Eine neue Studie macht deutlich: Vererbung spielt bei den Ursachen von Krebserkrankungen nur eine untergeordnete Rolle. Schuld sind meist zufällige Kopierfehler.

Wer in der Uckermark Ruhe sucht, ist richtig. Wer krank wird, hat normalerweise ein Problem. Helmut Kalmutzke leidet an Krebs. Seine Heimat muss er trotzdem nicht verlassen. Spezialisten helfen aus der Ferne – per Telemedizin. Unser Blendle-Tipp.

Das Risiko von Herzinfarkt und Schlaganfall kann weiter verringert werden – aber der hohe Preis der Medikamente ist ein Hindernis.

Auf der falschen Fährte: Bei der rätselhaften Nickkrankheit attackiert das Immunsystem offenbar das Gehirn.

Vor 15 Jahren brachen viele Frauen ihre Hormontherapien wegen erhöhten Schlaganfall und Herzinfarkt-Risiko ab. Eine neue Studie legt jetzt nahe, dass die Behandlung in den Wechseljahren doch schützen könnte.

Forschern ist es gelungen, sechs der 16 Chromosomen der Bäckerhefe nachzubauen. Damit wollen sie testen, welche Bausteine der DNS verzichtbar sind - und so die Gentherapie verbessern.

Ist Kiffen schädlich? Laut amerikanischen Forschern könnte Cannabiskonsum ein Risikofaktor für Herz-Kreislauf-Erkrankungen und Schlaganfälle sein.

Es ist nicht leicht, sich vor Infekten zu schützen - doch Vitamin D könnte dabei nützlicher sein als gedacht.

In den USA wird untersucht, ob homöopathische Kügelchen für den Tod von Kindern ursächlich sind. Viele schwören aber auf ihre Heilkraft.

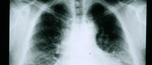
Neuartige Immuntherapien zeigen ermutigende Erfolge gegen Lungenkrebs. Doch die Fortschritte kommen nicht allen Betroffenen zugute.

Millionen Menschen kämpfen jährlich mit den schweren Folgen eines Schlangenbisses. Oft fehlt das Gegengift, weil sich für Pharmafirmen die Produktion nicht lohnt.

Forschern ist erstmals eine konkrete Risikoabschätzung zu Missbildungen bei Embryos gelungen, die sich im Bauch der Mutter mit Zika infizierten. Die WHO verspricht Impfstoffe für 2020.

In einer perfekten Welt gibt es keine Sucht. In unserer schon - und in ihr ist Dampfen das weitaus geringere Übel als Rauchen.

Bei der Tiefen Hirnstimulation werden kleine Elektroden ins Gehirn eingeführt. Bei manchen Krankheiten wird das mit Erfolg eingesetzt. Doch Experten mahnen jetzt zur Vorsicht.
öffnet in neuem Tab oder Fenster