
Bundestrainer Joachim Löw hat sein Aufgebot für die ersten Länderspiele des Jahres bekannt gegeben. 16 Spieler aus dem erfolgreichen WM Kader sind dabei - und zwei lange verletzte Rückkehrer.

Bundestrainer Joachim Löw hat sein Aufgebot für die ersten Länderspiele des Jahres bekannt gegeben. 16 Spieler aus dem erfolgreichen WM Kader sind dabei - und zwei lange verletzte Rückkehrer.

Ende März bestreitet die deutsche Fußball-Nationalelf ihre ersten Länderspiele im Jahr 2015. Joachim Löw kann dann wieder auf Bastian Schweinsteiger setzen - und wird wohl auch Lukas Podolski weiterhin nominieren.

Nach der Sonnenfinsternis ist vor der Flut: An der Klosterinsel Mont Saint-Michel in der Normandie zum Beispiel wird ein Tidenhub von 14,5 Metern erwartet. Der Unterschied zwischen Ebbe und Flut rund um diese Weltkulturerbe-Insel wird somit höher als ein vierstöckiges Gebäude sein.

Beim diesjährigen International Woolmark Prize ist das Berliner Label Augustin Teboul in der Kategorie Womenswear gegen Marken aus Indien und Mittlerer Osten, Amerika, Asien und Australien angetreten. Vor der China-Reise haben wir Augustin Teboul in ihrem Atelier besucht.
In Australien droht einem hochrangigen Kirchenvertreter ein Prozess wegen Vertuschung von Kindesmissbrauch. Erzbischof Philip Wilson wird vorgeworfen, in den 1970er Jahren einen pädophilen Priester im Bundesstaat New South Wales gedeckt zu haben.

Arnold Schwarzenegger ist von der Polizei in Australien gestoppt worden - er war ohne Helm auf dem Fahrrad unterwegs. Der sonst üblichen Strafe von umgerechnet 100 Euro entging Arnie jedoch.

Die Überlegenheit von Mercedes beim Saisonauftakt in der Formel 1 war erdrückend. Konkurrent Red Bull denkt deshalb sogar über einen Ausstieg nach. Doch es gibt noch weitere Probleme.

Einige Inseln des Pazifikstaats Vanuatu sind schwer verwüstet. Jüngste Zählungen gehen mindestens zwei Dutzend Toten aus. Für den Nothilfeeinsatz ist die abgeschiedene Lage von Vanuatu ein Problem.

Seit genau vier Jahren herrscht ein verheerender Krieg in Syrien. Mehr als 210.000 Menschen sind ums Leben gekommen, Millionen haben ihr Zuhause verloren. Doch ein Ende des Konflikts ist nicht in Sicht.

Nur 15 Autos starteten zum Saisonauftakt: Die strukturellen Probleme in der Formel 1 werden immer offensichtlicher. Ein Kommentar.

Heute in unserem Blog: Borussia Mönchengladbach fordert Bayern München heraus, Hannover 96 versinkt im Abstiegskampf und Hertha BSC strebt nach oben
In den Küchenschränken, unter der Spüle, einfach überall: Ein Mann in Australien hat rund 1000 gestohlene Paar Schuhe in seiner Wohnung gesammelt.

Sebastian Vettel will Teil des Ferrari-Mythos werden – wie jeder Pilot. Das italienische Team ist der größte Popstar der Formel 1.

Sebastian Vettel fährt bei seinem Debüt im Ferrari hinter den beiden Mercedes-Piloten Lewis Hamilton und Nico Rosberg auf das Podest. Derweil untermauert Hamilton mit seinem Sieg seine Ansprüche auf die Titelverteidigung.

Der Präsident von Vanuatu bittet um internationale Hilfe für den vom Zyklon „Pam“ getroffenen Inselstaat. Zwei Tage nach der Katastrophe gibt es noch keinen Kontakt zu den entlegenen Inseln im Pazifik.

Virtuelle Bremsen und ein Weltmeister-Sohn: Vor dem Saisonstart am Wochenende beim Großen Preis von Australien in Melbourne analysieren wir die wichtigsten Änderungen in der Formel 1.

Weltmeister Lewis Hamilton hat sich in Melbourne die erste Pole-Position der neuen Saison gesichert. Beim Qualifying landete er am Samstag über eine halbe Sekunde vor Mercedes-Teamkollege Nico Rosberg. Sebastian Vettel startet beim Ferrari-Debüt als Vierter.

Die Berliner Plattform Helpling vermittelt jetzt Putzkräfte per App oder Web auch in den Vereinigten Arabischen Emiraten. Haushaltshilfen arbeiten dort oft unter katastrophalen Bedingungen. Helpling baut auf einen Verhaltenskodex.

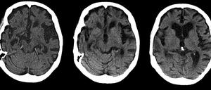
Im Tierversuch ist es gelungen, Alzheimer-typische Ablagerungen zu entfernen. Ob das auch beim Menschen klappen wird, ist jedoch unklar.
Die Untersuchung des Testunfalls von Formel-1-Pilot Fernando Alonso dauert an.

In Indonesien ist die Hinrichtung der Australier Andrew Chan und Myuran Sukumaran erneut verschoben worden. Australien hatte vorgeschlagen, die Kosten für eine lebenslange Haftstrafe der beiden Drogenschmuggler zu übernehmen.
Umgerechnet 96 000 Euro ist der Goldklumpen wert, den der Goldgräber Mick Brown in Australien gefunden hat. Jetzt kann er endlich seine Schulden abbezahlen.

Das Leben von William Dampier inspirierte zu „Robinson Crusoe“ und „Gullivers Reisen“. Der Pirat war eifriger Naturforscher. Vor 300 Jahren starb er verarmt.

Bis heute herrscht Ungewissheit über den Flug MH370 von Malaysia Airways. Von der Boeing 777 wurden keine Spuren gefunden – nur Unterwasserlandschaften neu entdeckt.

Von den Fidschis nach Berlin: Für unsere gedruckte Samstagsbeilage Mehr Berlin fragten wir Berliner Macher, was genau sie an der Stadt reizt. Besonders pointiert antwortete Air-Berlin-Chef Stefan Pichler. Lesen Sie hier vorab und exklusiv, was er über seine neue Heimat zu sagen weiß.

Beim Vorentscheid zum Eurovision Song Contest (ESC) gab es eine Überraschung: Sieger Andreas Kümmert verzichtete auf das Ticket nach Wien und reichte es an die Zweitplazierte Ann Sophie weiter. Der NDR verteidigt Moderatorin Barbara Schöneberger.

In Australien vergrößert sich die Empörung über Indonesien. Dort bleibt man weiter hart und will die zum Tode Verurteilten Australier Andrew Chan und Myuran Sukumaran nicht begnadigen. Besonders ein Bild vom Polizeichef in Indonesien steht in der Kritik.

Den beiden Australiern Chan und Sukumaran droht in Indonesien wegen Drogenschmuggels die baldige Hinrichtung. Die australische Regierung versucht alles, um die Exekution noch abzuwenden. Einen Austausch von Gefangenen lehnt Indonesien aber ab.

Neuseeland hat Medienberichten zufolge seine pazifischen Nachbarn ausspioniert. Der Geheimdienst des Landes habe Informationen an Partner wie die USA, Großbritannien und Australien weitergereicht. Sie beriefen sich auf Unterlagen von Edward Snowden.

Flug MH370 mit 239 Menschen an Bord verschwindet spurlos. Ein Jahr voll Leid und Wut liegt hinter den Angehörigen. Trotzdem sind sich viele sicher, dass ihre Lieben noch leben.

Der mysteriöse Ausfall von Formel-1-Pilot Fernando Alonso entwickelt sich für McLaren und Honda zum PR-Desaster. Licht ins Dunkel kann nur die Fia bringen. Doch der Automobil-Weltverband gibt sich bisher ohnmächtig.

Fernando Alonso wird beim Start der Formel 1 in knapp zwei Wochen nicht an den Start gehen. Die Ärzte sehen die Gefahr einer neuen Gehirnerschütterung.

Die Suche soll in den nächsten Wochen eingestellt werden, wie die Regierung in Australien verlauten ließ. Flugunfall-Ermittler zermatern sich trotzdem weiter das Gehirn: Was passierte mit Flug MH370? Fast ein Jahr nach dem Verschwinden der Boeing fehlt weiter jede Spur. Steckt doch der Pilot dahinter?

Frisches Wasser ist vielerorts knapp. Entsalzungsanlagen können helfen, den Bedarf zu decken. Doch ihre Umweltbilanz ist oft miserabel. Das soll sich ändern.

Für Knopfaugen und weiches Fell haben neuseeländische Naturschützer nichts übrig. Sie führen einen Kreuzzug gegen eingeschleppte Säugetiere wie Possums, Hermeline und Ratten. Denn die bedrohen eine einzigartige Vogelwelt.

Zwölf Milliarden Mal schwerer als die Sonne: Ein gigantisches Schwarzes Loch stellt Astronomen vor ein Rätsel.

Australien und Indonesien befehden sich wegen der geplanten Hinrichtung zweier australischer Drogenschmuggler. Australiens umstrittener Regierungschef Tony Abbott hatte sich undiplomatisch geäußert.

Mit Trabant, Polski-Fiat und Jawa-Motorrädern die Wüste von Australien durchqueren: Das ist das Ziel des Prager Abenteurers Dan Priban. Crowdfunding macht es möglich.

In Indonesien ist die geplante Hinrichtungen der Australier Andrew Chan und Myuran Sukumaran aufgeschoben worden. Das Büro vom Vizestaatschef spricht von "technischen Gründen". Die Hinrichtungen hatten einen heftigen diplomatischen Streit zwischen Indonesien und Australien ausgelöst.

Die Menschen in Australien müssen gleich mit zwei Wirbelstürmen fertig werden. Häuser werden beschädigt, Bäume stürzen um. Die Behörden warnen vor Sturmfluten und Hochwasser.
öffnet in neuem Tab oder Fenster