
Nicht so lang warten auf den Arzttermin, höhere Hartz-IV-Bezüge, mehr Geld für Studenten. Dafür zahlen alle höheres Briefporto: Was sich mit dem Neujahrs-Glockenschlag für Verbraucher ändert.

Nicht so lang warten auf den Arzttermin, höhere Hartz-IV-Bezüge, mehr Geld für Studenten. Dafür zahlen alle höheres Briefporto: Was sich mit dem Neujahrs-Glockenschlag für Verbraucher ändert.

Warnbildern auf Zigarettenverpackungen werden auch in Deutschland eingeführt. Auch für E-Zigaretten gelten neue Regelungen.

Licht ist der entscheidende Taktgeber unserer inneren Uhr. Geraten wir aus dem Rhythmus, können Depressionen, Herzleiden und sogar Krebs die Folge sein. Chronobiologen erforschen, wie die Räume, in denen wir leben, gesünder gestaltet werden können.

Wie viele Schadstoffe sind in der Luft? Wegen des VW-Skandals hat Greenpeace nachgemessen – mit beunruhigenden Resultaten. Auch in den Innenräumen sind die Messergebnisse schlecht.

Die Deutschen sind so fit wie nie zuvor, auch im hohen Alter. Welche körperlichen und geistigen Probleme plagen trotzdem viele Bundesbürger?

Studie findet Unterschiede zwischen verschiedenen sozialen Gruppen. Vor allem in Osteuropa, Finnland und Dänemark.
Die Mitarbeiter des Teltower Seniorenheims „Bethesda“ genießen ihren wöchentlichen Sportkurs im Rahmen des Projekts „Die Firma läuft“. In der Altenpflege sind derartige Präventionsmaßnahmen zur Stärkung von Körper und Geist besonders wichtig.
Zu viel Fett und Zucker, zu wenig Obst und Gemüse: Studien ergeben, dass die Ernährung der Deutschen mangelhaft ist. Dies führt zu Erkrankungen, wodurch im Gesundheitswesen Kosten von jährlich rund 70 Milliarden Euro entstehen.

Den wohl kleinsten Schrittmacher der Welt erhält heute eine Frau im „Herzzentrum Brandenburg“ in Bernau. Der Tagesspiegel überträgt im Live-Stream.

Der Lärm von Flugzeugen, Güterzügen und Autos mindert die Lebensqualität und stört den Schlaf. Der Gesundheit schadet er aber weniger als erwartet. Den Blutdruck erhöht er zum Beispiel nicht.

Die Humboldt-Universität hat endlich einen Kandidaten: Der Würzburger Mediziner Martin Lohse soll neuer Präsident werden. Lohse ist ein vielseitiger und hoch dekorierter Wissenschaftler.

Der Verzehr von Fleischprodukten kann zum Gesundheitsrisiko werden, gab die Weltgesundheitsorganisation WHO bekannt. Auch das Diabetes-Risiko kann steigen.

Jeder Junge will Feuerwehrmann werden? Nicht so Tom Zbyszewski. Den Ferienjob macht er trotzdem, um Geld fürs College zu verdienen. An der Westküste der USA ist er mit Waldbränden aufgewachsen – und im Feuer gestorben.

Verklumpt das Blut, drohen Venenthrombosen und Lungenembolien. Doch das lässt sich verhindern, wenn man an die Gefahr denkt - insbesondere bei Jüngeren.

Die Marketingumwelt macht es uns schwer, gut zu essen. Das muss sich ändern, sagt der Geschäftsführer der Deutschen Diabetesgesellschaft.

Für Patienten ist die Geschlechterfrage eine Sache auf Leben und Tod: Haben Männer öfter Herzinfarkte? Oder wird er bei Frauen übersehen?

Der World Health Summit in Berlin sucht nach Lösungen für weltweit zunehmende Antibiotika-Resistenzen.

Der Campus Buch ist ein Zukunftsort – 3000 Menschen aus über 50 Nationen arbeiten hier an der Gesundheit von morgen.

Mobile Stromerzeuger auf Baustellen und bei Veranstaltungen müssen ab Oktober Partikelfilter haben, damit der Senat sie genehmigt. Das soll gegen Feinstaub helfen.
25 Jahre nach der Wiedervereinigung hat sich die Lebenserwartung der Ostdeutschen gegenüber den Westdeutschen einer Untersuchung zufolge stark angenähert.

Der Blick in das menschliche Erbgut eröffnet der Medizin völlig neue Möglichkeiten. Aber es ist eine Revolution mit Hindernissen..

Kinderlärm und Totenstille: Auf zwei Höfen in Friedenau liegen beide Welten ganz dicht beieinander, nur durch einen Zaun getrennt. Ein Kreislauf von Werden und Vergehen.

Top-Manager arbeiten viel und schlafen wenig. Mancher kollabiert oder landet in der Klinik. Häufigste Strategie: weitermachen.

Aspirin avanciert vom Allerweltsmittel zum (beinahe) Alleskönner. Erstmals empfiehlt nun ein offizielles US-Gremium Gesunden, das Mittel langfristig zur Vorbeugung von Krebs und Herzerkrankungen einzunehmen.

Die Deutsche Herzstiftung wirbt für mehr Engagement der Bürger bei der Wiederbelebung - und schult Abgeordnete des Deutschen Bundestags.

Auf Brettern durch den Sommer: Die positiven Effekte des Skilanglaufs auf die Gesundheit kennt man schon lange. Nur wenige nutzen sie das ganze Jahr über. Aber auch in Berlin und Brandenburg kann man einfach umsteigen.

In den USA kommt „Viagra für die Frau“ nach vielen Versuchen als Medikament auf den Markt. Doch das Mittel und dessen Wirkung sind umstritten.

Es war windstill und schwül – und so stieg die gefühlte Temperatur auf mehr als 50 Grad. Nach einer Woche waren 700 Menschen tot, vor allem in benachteiligten Stadtteilen Chicagos. Was man daraus lernen kann.

Freitag war der bislang heißeste Tag des Jahres in Berlin. Aber die 40 Grad wurden nicht erreicht. #Berlin40 ist weiterhin unser Hashtag für Ihre Hitze-Erlebnisse. Lesen Sie in unserem Newsblog noch einmal die Ereignisse des Tages nach.

Bei der derzeitigen Hitze wird im Rahmen des Projekts "Die Firma läuft" weniger gerannt. Stattdessen trainiert das Babelsberger Ingenieurunternehmen VIC verstärkt die Beweglichkeit und Kraft – und das in besonderem Ambiente.
Extreme Hitze in Potsdam wird immer häufiger, Ende des Jahrhunderts soll es hier so warm werden wie in Südfrankreich. Nun haben Experten analysiert, wie die Stadt darauf reagieren muss.

Auf bis zu 40 Grad sollen die Temperaturen am Freitag steigen – womöglich wird es so warm wie noch nie in Berlin. Hier finden Sie alle Fragen und Antworten rund um die Hitze.
Crystal Meth ist die kristalline Form von N-Methylamphetamin (C10H15N). Es zählt zur Gruppe der Amphetamine, zu der auch Speed gehört.

Die Berliner Polizei staunt über ihren bislang größten Fund von Crystal Meth. 4,5 Kilogramm der Droge hatten zwei Männer zum Teil wie Süßigkeiten verpackt in ihrer Wohnung. Die Droge wird zunehmend beliebter.

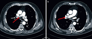
Das griechische Wort „embolos“ bedeutet so viel wie: hineingeschoben. Es bezeichnet einen kleinen Pfropf – der lebensgefährlich werden kann. Wie im Fall von Philipp Mißfelder, der in der Nacht zu Montag an einer Lungenembolie starb.
Neue BER-Nachtflugroute erzürnt Fluglärmgegner. Betroffene wollen klagen

Zwei Kitas, zwei Welten, ganz nah beieinander in Schöneberg: In der einen gibt’s Bio-Gouda und Sprachförderung, in der anderen Raufereien und Kummer. Unser Autor hat in beiden als Praktikant gearbeitet – und miterlebt, wie früh Chancen verteilt werden.

Den Ausstoß von klimaschädlichen Stoffen zu reduzieren nützt nicht nur dem Klima sondern spart auch den Gesundheitssystemen Kosten.

Mensch und Mechanik, Angst und Freiheit greifen in der Ausstellung der Galerie Ruhnke ineinander

Die Fifa weist die Kritik an der erhöhten Teilnehmerzahl bei der Frauen-WM zurück. Dem Weltverband geht es nicht nur um sportliche Fortschritte.
öffnet in neuem Tab oder Fenster